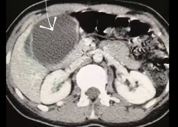
В Раменскую больницу поступила женщина с жалобами на резкие боли в животе. В результате проведенной диагностики у пациентки выявили эхинококковую кисту размером 8х12 см, занимающую всю левую долю печени.
Эхинококкоз – тяжелое паразитарное заболевание, возбудителем которого являются мелкие ленточные черви. Они могут попасть в организм, в том числе, при недостаточной термической обработке продуктов и при употреблении в пищу немытых фруктов и овощей. В качестве среды обитания эхинококки могут выбирать органы брюшной полости, сердце и даже головной мозг. Эхинококковые кисты могут вырастать до 50 см в длину и содержат зародыши паразита.
«Хирургами была выполнена сложнейшая операция по удалению эхинококковой кисты, при этом удалось сохранить всю левую долю печени. В ходе удаления новообразования, крайне важно не повредить оболочку кисты, тем самым, не дать выход ее содержимому, которое за считаные минуты обсеменяет орган, вызывая мощнейшую интоксикацию, ведущую к смерти в течение 1-2х часов. Тем не менее, и жить с эхинококкозом крайне опасно. Киста непрерывно растет в размерах, сдавливая ближайшие сосуды и препятствуя нормальному кровотоку в органе», — рассказал кандидат медицинских наук, заместитель главного врача Раменской больницы по хирургической помощи Дмитрий Зинатулин.
На данный момент пациентка чувствует себя хорошо и уже выписана. Специалисты рекомендуют внимательнее относиться к рациону питания во время путешествий в экзотические страны.

Источник ramns.ru